
20 October 2025
Letzter Eintrag im 7. Jahr Dialyse. Taxi. Als er um 06:05 Uhr noch an der Abfahrt „Licher Straße“ am Gießener Ring A 485 war, wußte ich, es wird wieder

17 October 2025
Taxi. Heute mit 46 durch Münster. Keine riskanten Überholmanöver, kein Vollgas-Leerlauf-Modus, kein Linksfahren, kein Drängeln, keine Vorfahrt-Missachtung. Kein

15 October 2025
Taxi. Heute nur mit 67 durch Münster. Bei Geschwindigkeiten unter 100 km/h werden bei einer Messung 3 km/h Toleranz abgezogen (über 100

13 October 2025
Taxi. Der Ort Münster scheint gar kein richtiger Ort zu sein. Obwohl dort laut StVO die viereckigen, gelben Verkehrszeichen 310-50 und am Ausgang

10 October 2025
Taxi. Heute hat er mir anfangs bewiesen, dass er auch langsam und vernünftig fahren KANN - aber nicht MUSS, wenn er nicht WILL. Das hat er

8 October 2025
Taxi. Am Liebsten würde er ja Luftlinie fahren. Das sind von meiner Haustür bis zum Klinikeingang exakt 13180 Meter. Aber aufgrund

6 October 2025
Es gibt wohl nichts, dass es noch nicht gibt. Naja, vielleicht bei „Fast & Furious.“ Aber im richtigen Leben? Innerorts mit 75 (gemessen und angezeigt!)

3 October 2025
Heute wieder das volle Starfighter-Programm! (*) Vielleicht kann der Pilot da gar nichts dafür? Früher, als ich noch an den 8-Zylinder-BOSCH-

1 October 2025
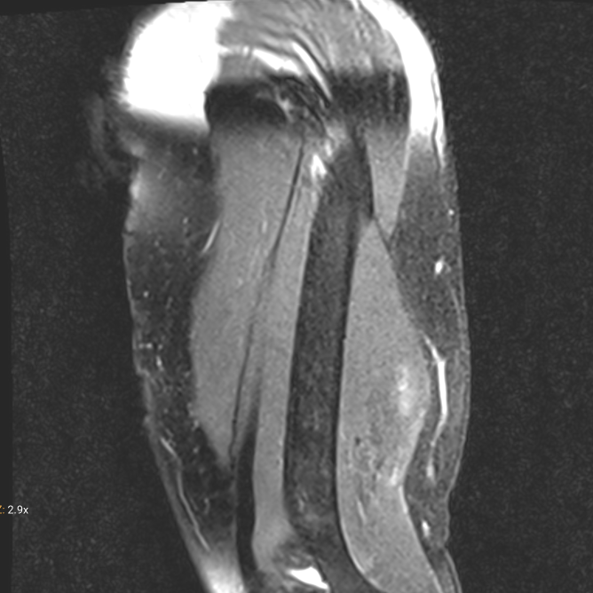
Der Tag rückt näher. Morgen ist es soweit. Nach etwa 20 Jahren zum zweiten mal. Das Schwannom nervus radialis im linken Oberarm wird operativ entfernt. Es ist

29 September 2025
Boa ey! Noch nicht mal mehr einen Monat, dann ist das siebente Jahr schon vorüber. Vor und über. Und nur noch einen Tag - dann ist schon wieder

26 September 2025
Was?! Echt? Im Ernst? Meinst du? Bist du dir da sicher? Wirklich? Wegen dir? Nur wegen dir? Das alles nur wegen dir? Verblühte Blumen

24 September 2025
Nach dem allmorgendlichen taxi-survival-training (Heute bei „länger-als-eine-Sekunde-Rot“ noch an der Ampel vorbeigemogelt und

22 September 2025
Es ist immer noch ungewohnt. „Dienstag - Donnerstag - Samstag“ sitzt noch so tief drin. Oft muss ich überlegen, welcher Wochentag grad ist und

19 September 2025
Heute hatte er niemand, dem er auf der Hauptstraße die Vorfahrt nehmen konnte. Aber innerorts nur 47 fahren, das geht gar nicht! Da muss

17 September 2025
Das Taxi kam pünktlich. Fast. Auf 09:45 Uhr war es bestellt, um 09:55 Uhr war es da. Und dann ging die Warterei los. 11:00 Uhr war der Termin, 12:15 Uhr

15 September 2025
… und das alles frühmorgens auf nüchternen Magen! Beim Einbiegen in die Hauptstraße die Vorfahrt genommen. Die auf der Hauptstraße mussten

12 September 2025
The english Schummi-Driver has wieder alles aus seiner Kiste rausgeholt! Aber wirklich alles. Nach Right-hand-Steering-Art Linkskurven

10 September 2025
Heute ist Mittwoch, daran ist nix zu ändern. Am Montag im Garten ging wieder alles drunter und drüber. Ich war meistens drüber, sie war

8 September 2025
Was soll man denn noch schreiben? Dass die Nadeln nicht immer perfekt sitzen? Blutfluss deshalb heute nur auf 280 statt 350 ml/min. Doch auf

5 September 2025
Was soll man denn noch schreiben? Sechs Jahre und zehn Monate schreib ich schon zu fast jeder Dialyse hier. Und (fast) immer was Neues. Und